Book a Call

Edit Template

Smile Gallery

Actual Patients Treated at Chadds Ford Family Dentistry

The desire to correct the aging smile is very often what drives patients into my office. There are many ways to restore to the youthful, beautiful smile we all desire. Very often a combination of treatments is required to achieve an optimal result. These include bleaching, minor orthodontics, bonding, porcelain veneers, gum treatments, crowns, and implants.

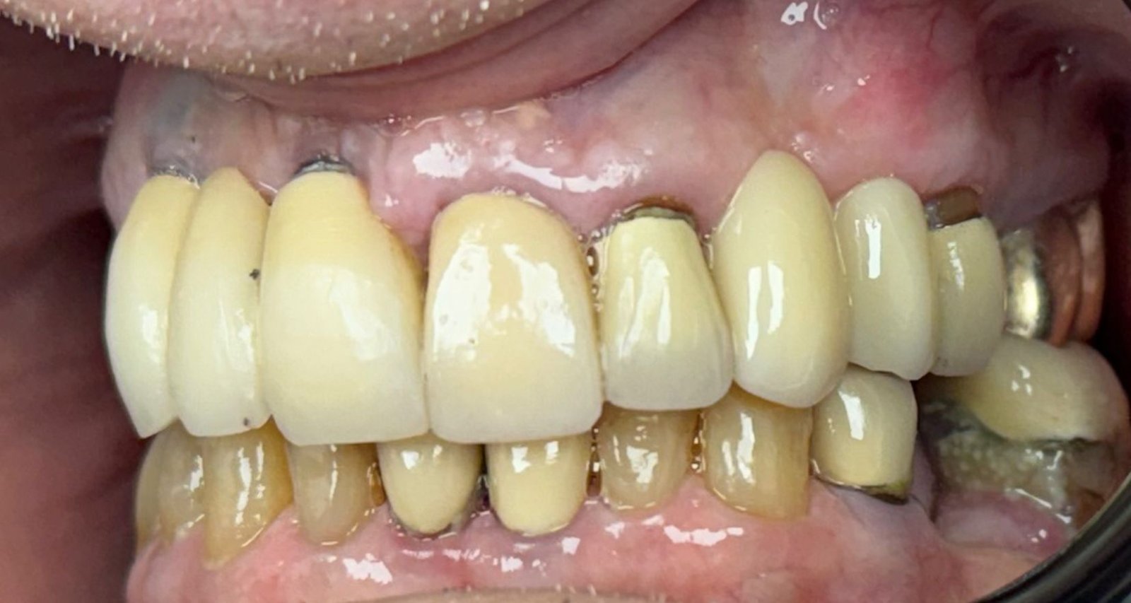
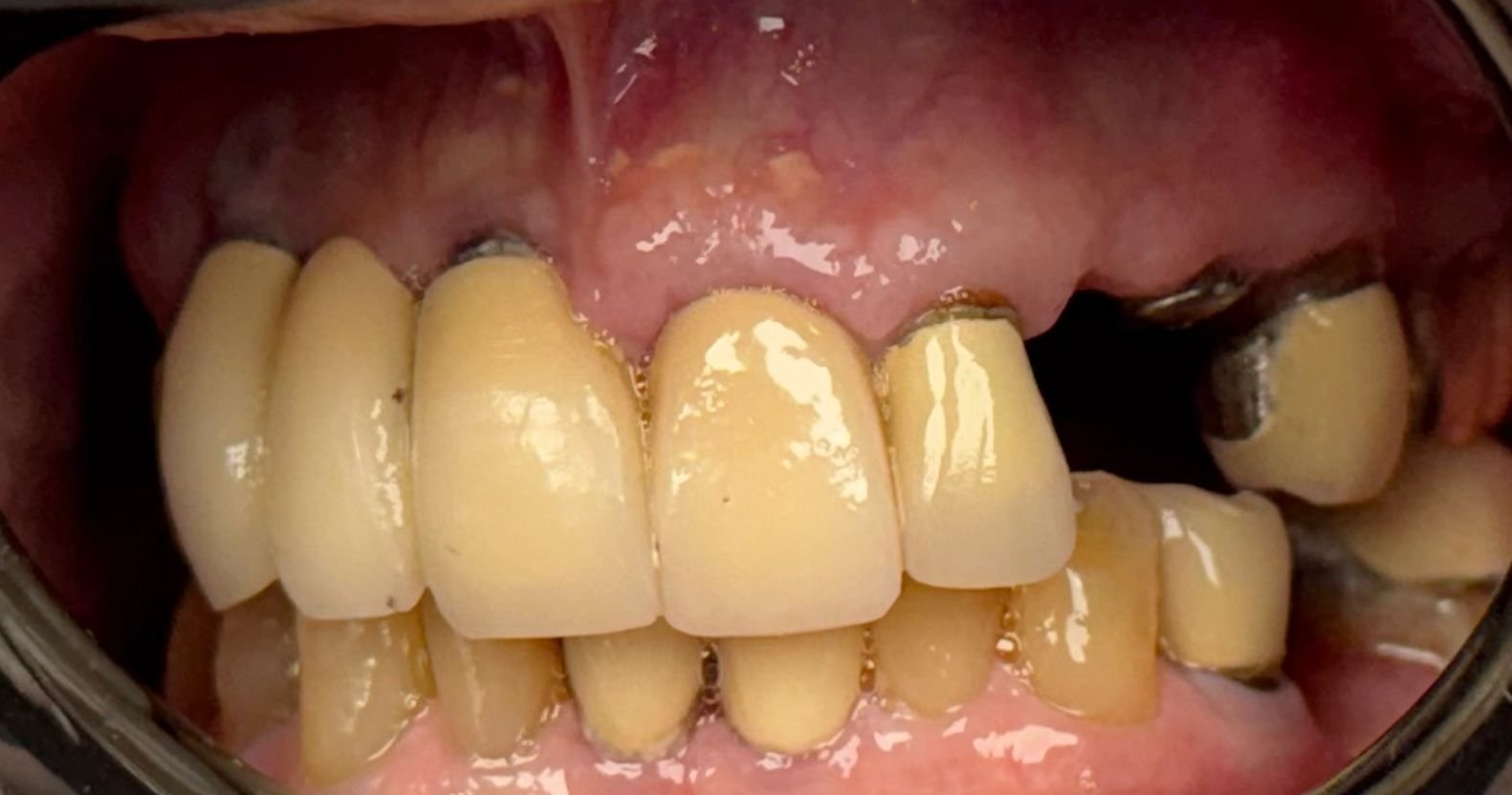
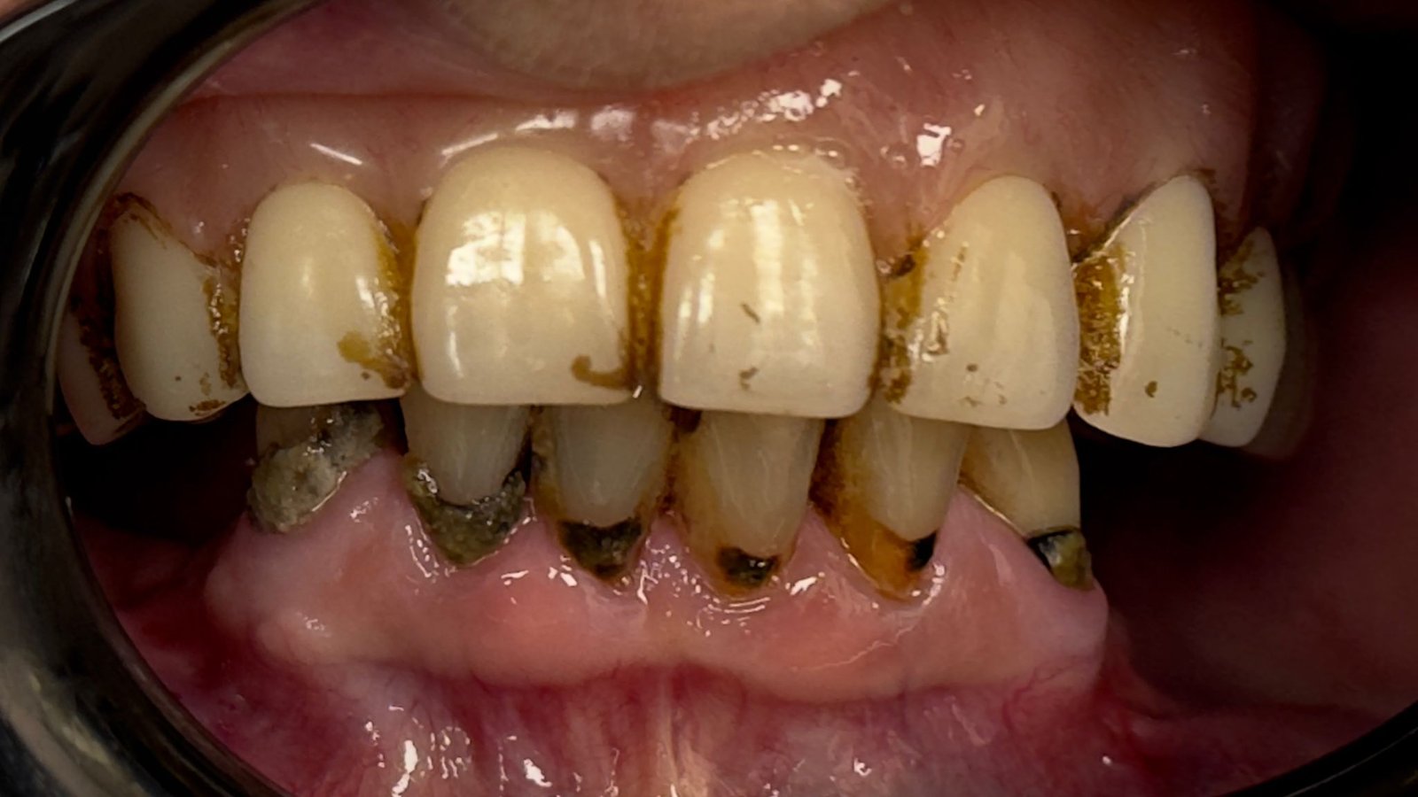
Immediate implant
After
Before

Before     After

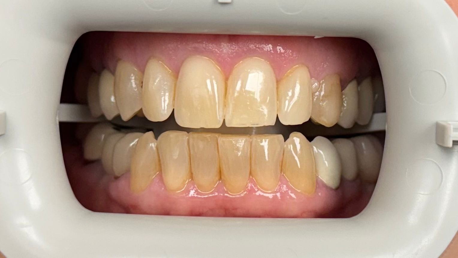
Zoom Whitening and Cosmetic Bonding
After
Before

Before     After

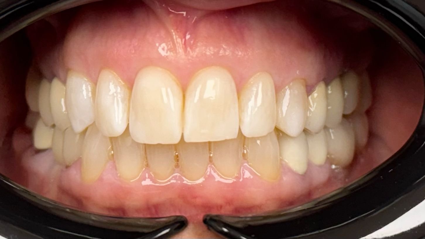
Porcelain crowns
After
Before

Before     After

Complete denture
After
Before

Before     After

Invisalign Treatment
After
Before

Before     After

Invisalign Treatment
After
Before

Before     After

Complete Denture
After
Before

Before     After

Invisalign Treatment
After
Before

Before     After

Invisalign Treatment
After
Before

Before     After

Internal Bleaching
After
Before

Before     After

Tetracycline Staining treated with Porcelain Veneers
After
Before

Before     After

Invisalign Treatment
After
Before

Before     After

Invisalign Treatment
After
Before

Before     After

Invisalign Treatment
After
Before

Before     After

Implant, Crown and Veneers
After
Before

Before     After

Orthodontist said "Nothing More Could Be Done." Makeover using crowns only. No orthodontic movement
After
Before

Before     After

Makeover using crowns only. No orthodontic movement
After
Before

Before     After

Veneers: Two Front Teeth
After
Before

Before     After

Crowns and Orthodontics of Lower Teeth
After
Before

Before     After

Porcelain Veneers
After
Before

Before     After

Bonding
After
Before

Before     After

Bonding
After
Before

Before     After

After
Before

Before     After

The lower anterior teeth were straightened in less than 6 months with Clear Correct align...
After
Before

Before     After

Advanced Case: Required many disciplines to complete
Before
Before final tuning orthodontic correction
After we bonded teeth to determine how orthodontic correction will be completed
Final result after crowns and veneers placed
immediate implant
Zoom whitening and cosmetc bonding
After
Before
After
Before
Before
After
Before
After
Complete denture
Porcelain crowns
After
Before
After
Before
Before
After
Before
After
Invisalign Treatment
Invisalign Treatment
After
Before
After
Before
Before
After
Before
After
Complete Denture
Invisalign Treatment
After
Before
After
Before
Before
After
Before
After
Invisalign Treatment
Internal Bleaching
After
Before
After
Before
Before
After
Before
After
Tetracycline Staining treated with Porcelain Veneers
Invisalign Treatment
After
Before
After
Before
Before
After
Before
After
Invisalign Treatment
Invisalign Treatment
After
Before
After
Before
Before
After
Before
After
Implant, Crown and Veneers
Implant, Crown and Veneers
After
Before
After
Before
Before
After
Before
After
Bonding
The lower anterior teeth were straightened in less than 6 months with Clear Correct align...
After
Before
After
Before
Before
After
Before
After
Orthodontist said "Nothing More Could Be Done." Makeover using crowns only. No orthodontic movement
Makeover using crowns only. No orthodontic movement
After
Before
After
Before
Before
After
Before
After
Veneers: Two Front Teeth
Crowns and Orthodontics of Lower Teeth
After
Before
After
Before
Before
After
Before
After
Porcelain Veneers
Bonding
After
Before
After
Before
Before
After
Before
After
Advanced Case: Required many disciplines to complete
Before
Before final tuning orthodontic correction
After we bonded teeth to determine how orthodontic correction will be completed
Final result after crowns and veneers placed

Chadds Ford Office

Office Hours:

100 Ridge Road, Suite 36
Chadds Ford, PA 19317
+1 (610) 558-1760
Monday 08:00 AM - 04:00 PM
Tuesday 09:00 AM - 05:00 PM
Wednesday 08:00 AM - 04:00 PM
Thursday 07:30 AM - 04:00 PM
Fridays By Appointment Only
Saturday-Sunday Closed

Chadds Ford Office

100 Ridge Road, Suite 36
Chadds Ford, PA 19317
+1 (610) 558-1760

Office Hours:

Monday 08:00 AM - 04:00 PM
Tuesday 09:00 AM - 05:00 PM
Wednesday 08:00 AM - 04:00 PM
Thursday 07:30 AM - 04:00 PM
Fridays By Appointment Only
Saturday-Sunday Closed

New Patient?

Contact Us for FREE Consultations

Copyright © 2026 Chadds Ford Family Dentistry. All Rights Reserved.
This website is maintained and developed by ATSEWA

Copyright © 2025 Chadds Ford Family Dentistry.
All Rights Reserved.
This website is maintained and developed by ATSEWA